Carie définition et explications AquaPortail

La couronne permet aussi de recouvrir une obturation de grande taille ou de redonner de la structure à une dent qui a été atteinte par une carie. Chez beaucoup de personnes, un des premiers signes annonciateur d' une infection dentaire sous couronne est celui d'une mauvaise haleine avant même l'apparition des premières douleurs.
Dent Dévitalisée; dent mortifiee; dent sans pulpe

Après la pose d'une couronne sur une dent dévitalisée, il est essentiel de suivre les consignes post-opératoires du dentiste. Cela inclut un entretien bucco-dentaire régulier, l'évitement de morsures excessives sur des objets durs, et des visites de suivi pour garantir la stabilité à long terme de la couronne.
Couronnes

En amont de la septicémie dentaire. Avant même de redouter une septicémie causée par une infection dentaire, les patients auront à s'inquiéter de la douleur qu'elle génère. Les.
Abcés dentaire Comment soigner cette infection des dents

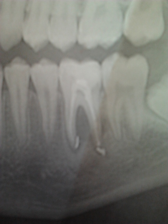
Infection sous couronne dentaire d'une dent dévitalisée. L'infection apparaît à la racine d'une dent dévitalisée. Cette infection peut se déclarer soit peu après le traitement, soit quelques années plus tard. Lors de la pose de la couronne, si l'intégralité des canaux n'est pas complètement obturée, dans les endroits restés vides.
Infection a la racine d'une dent dévitalisée

Si vous ne ressentez qu'une douleur au froid ou au chaud,c'est le cas le plus favorable.Il suffit faut dévitaliser la dent.On peut dévitaliser la dent sans déposer la couronne,cela dépend des cas. Le dentiste déposera la couronne ou la percera pour pouvoir atteindre les canaux de la dent et refera un traitement complet des canaux.Il posera.
Abcès dentaire sous couronne partie 1 traitement d'urgence drainage du pus YouTube

Dans la bouche, comme dans notre corps, il y a des infections qui commencent et se perpétuent silencieusement. Ces infections silencieuses peuvent survenir dans les dents qui ont déjà été dévitalisées, en raison d'une réinfection de la dent, ou dans les dents en nécrose (mort de la dent).. Dans le cas de dents avec traitement endodontique effectué (dents dévitalisées), les causes.
Infection a la racine d'une dent dévitalisée

Il peut y avoir plusieurs étiologies au symptome de la douleur sous une couronne. Origine d'une douleur sous une couronne. Fracture : une racine dévitalisée est plus fragile qu'une racine encore vivante. Il peut y avoir une fêlure une fracture de cette racine créant des douleurs à la mastications ou si il se développe une infection plus tard des douleurs chroniques.
Abcès dentaire traitement abcès dentaire

faire un bain de bouche au bicarbonate de soude alimentaire : 1 cuillère à café de bicarbonate dans un verre d'eau. mettre une poche de glace au contact de votre joue, là où vous avez mal, pendant une dizaine de minutes. L'homéopathie peut quelquefois calmer la douleur d'un abcès dentaire sous couronne, par exemple Pyrogenium 7CH.
Couronne et incrustation Clinique dentaire Dr Jocelyn Corbeil

Prendre rendez-vous avec son praticien Clinadent au minimum 1 fois par an, pour effectuer un bilan bucco-dentaire et un détartrage. Si une infection vient toucher la dent dévitalisée, il faut contacter en urgence son praticien Clinadent, qui va déboucher les canaux de la dent dévitaliser.
Dévitalisation Traitement Endodontique Toulouse (31000) Dentiste Dr Michel Knafo

Les symptômes d'une infection sous une couronne dentaire. Il existe différents symptômes qui caractérisent l'infection sous couronne dentaire : - une mauvaise haleine persistante. - un kyste. - une douleur. - un abcès purulent : du pus apparaît au niveau de la racine de la dent sous la couronne. - une rougeur ou une.
kystes dentaires et conséquences kyste dentaire que faire Bojler

Une „infection sous couronne dentaire d'une dent dévitalisée" nécessite souvent un traitement spécialisé pour éliminer l'infection sans endommager la prothèse. La clef réside dans la détection précoce et la consultation rapide avec votre dentiste pour un traitement approprié. Ne laissez pas l'infection s'aggraver pour.
Dr A Frey, chirurgiendentiste Soins cons. et proth.
ous avez une dent dévitalisée, vous pensez que cette dent ne vous posera plus de problème et ne vous fera plus jamais souffrir. Vous avez sans doute raison. Mais attention, une dent dont la dévitalisation s'avère incomplète peut avoir des conséquences graves sur l'état de santé général. En voici les explications : 1.
Qu’est ce que la dévitalisation d’une dent ? Dr Sultan

L'utilisation d'antibiotique pour le traitement d'un abcès dentaire sous une couronne n'est pas automatique. Après le drainage du pus et le nettoyage du canal dentaire, la cavité créée sera comblée avec une pâte. Le dentiste décidera ensuite si oui ou non le patient doit prendre des antibiotiques avec ses antalgiques.
Carie dentaire Tourisme dentaire

Votre dentiste fera une radio de votre dent pour détecter la présence probable d'un abcès. Il débouchera les canaux de la dent dévitalisée pour les traiter et les nettoyer. Cela suffit habituellement à faire dégonfler l'abcès ou à stopper l'infection. 4.
La dévitalisation de la dent

Pour une dent fissurée, fêlée ou fracturée sous le niveau de la gencive ou de l'os Dans certaines situations, il arrive que la dent se fêle ou se fracture sous le niveau de la gencive ou de l'os. Dans le premier cas, il est possible d'ajuster le niveau de la gencive avec un laser directement […]
Dent sur pivot quelle est la différence avec l'implant

Il est conseillé de brosser les dents deux à trois fois par jour, d'utiliser du fil dentaire ou des brossettes inter-dentaires ainsi qu'un produit de bain de bouche pour optimiser l'hygiène buccale. Mais les dents comme les couronnes, peuvent souffrir de l'accumulation de plaque dentaire ou développer une infection.
.